目次
ホワイトニングについて
ホワイトニングとは?
ホワイトニングは“歯の漂白”です。 使用する薬剤によって歯の外と内から黄ばみをとって歯を白くします。 歯には本来持っている色味があります。それが様々な過程で変色してきた場合、ホワイトニングは有効な治療法になります。

歯の色は無職透明なエナメル質と象牙質の色で反映されます。
人によって色が違うわけですが、それが加齢や遺伝などによって、よりエナメル質は薄くなり、また象牙質には厚みが出て濃く見えてきてしまいます。
ホワイトニングではこのエナメル質と象牙質の漂白をします。
オフィスホワイトニングでエナメル質を、ホームホワイトニングホームホワイトニングで象牙質を漂白していくことで、内外からきれいな歯の色を獲得することが出来ます。
ホワイトニングの
仕組みについて
よく間違われる内容として、ホワイトニング=クリーニング(着色除去)ではないということです。ホワイトニングは歯の組織そのものの色調改善を行うものですが、クリーニングは歯の表面を機械的に磨き、歯垢の除去、更にはお茶やコーヒー、たばこといった着色物質を除去するという処置になります。ここが両者の大きな違いです。
エナメル質そのものは実はほとんどが無色透明です。その主成分は無機質のハイドロキシアパタイト(リン酸カルシウムの結晶)というものから出来ています。しかし、エナメル質内には一部有機成分が含まれており、歯の色はその有機成分が大きく関わっていきます。ホワイトニングではエナメル質内の微細な有機成分を分解し、無色の物質とすることで色調を目立たなくさせます。
有機成分が分解されると、エナメル質表面の構造にも変化が起きるため、歯に対する光の当たり方も変化し、象牙質などの内面の組織が透けて見えないようにする効果が出てくるのです。
ホワイトニングで
使用する薬剤について
使用する薬剤の点からその仕組みをさらにみていきます。
ホワイトニングの薬剤はオフィスホワイトニング(歯科医院で歯科医が行うホワイトニング)とホームホワイトニング(自宅で患者さんご自身が行うホワイトニング)で変わってきます。オフィスホワイトニングでは過酸化水素(H2O2)、ホームホワイトニングでは過酸化尿素(CH4N2O・H2O2)を使用しています。過酸化尿素は尿素(NH2-CO-NH2)と過酸化水素に分解されます。ここで共通するのは過酸化水素が両方に関わるということです。この過酸化水素は熱や光に反応して、フリーラジカルというものを発生させます。そしてこのフリーラジカルが着色の原因となる有機質を分解していきます。
過酸化水素についてですが、これは日常生活でもよく使用されています。漂白剤や消毒剤などがそうです。傷口の消毒にも使用されています。低濃度にされた過酸化水素は、粘膜や血液に触れることで殺菌作用を示してくれます。
ホワイトニングをすると歯がしみる知覚過敏の症状が出ることがあります。これは、エナメル質を越えて象牙質内に薬剤が浸透したことが原因とも言われています。そのため、現在のホワイトニング剤には、フッ素や硝酸カリウムといった知覚過敏を抑制する成分も含まれています。
歯の黄ばみの原因は?
歯の黄ばみの原因は様々です。
着色
(タバコやコーヒー、お茶など)
日常生活の食事や嗜好品から歯は着色します。歯の表面は凹凸しており、汚れが溜まって色がつくことがあります。
失活歯(歯の神経が死んでしまっている状態)
歯には1本1本神経があり、細菌感染や事故によるダメージによって神経が死んでしまうことがあります。
神経が死んでしまうと歯の色が暗くなってきてしまうことがあります。
また外傷などで激しくぶつけた場合は、内部で血液が充満し、歯がやや赤味がかって見えることもあります。
加齢、遺伝によるもの
加齢変化で歯は少しずつ削れ、表面のエナメル質が薄くなります。
また内部でもエナメル質の内側の象牙質に厚みが出てきます。
歯の色はエナメル質は透明で、中の象牙質に色があります。
実はこの象牙質の色が歯の色に関係しています。
食事などによっても酸性食品を多く好まれる方は歯の表面が溶けて薄くなります。
様々な条件が重なった結果、象牙質の厚みがより強調されて歯の黄ばみとして現れてくるのです。
・テトラサイクリン症(胎児のとき母親の摂取した薬物によるもの)
・エナメル質形成不全(歯の表面の組織が成熟しきっていない状態)
・詰め物/差し歯の変色(保険のプラスチックを使用した材料の劣化)
以上のようなものがあてはまります。
どれが黄ばみの原因なのかを見極めることが対応策として大事になります。
ホワイトニングによって起こる可能性のある副作用について
ホワイトニングの種類に関わらず、ホワイトニングでは薬剤を使用するという観点から、歯に対して刺激が加わることになります。
術中、術後の反応として最も多いものが「歯が凍みる、歯がジンジンと痛む」ということです。神経(歯髄)がある歯では、歯の内部に浸透していった薬剤が誘因となり、知覚過敏に似た症状を感じることがあります。そのため、術直後は飲食や歯磨きだけでも歯に違和感を覚えることが出てきます。
個人差はありますが、このような症状が出ている場合はまずは歯科医院にご相談頂き、原因の確認をしてください。
またそのような状態時に、継続してホワイトニングを行うことは更に歯を痛めることにもなりますので、無理に行わないようにしてください。
オフィスホワイトニング
について
オフィスホワイトニングとは?
オフィスホワイトニングは歯科医院で行うホワイトニングです。
薬剤を直接歯の表面におき、特殊な光と熱で薬剤を活性化させて歯を外側から白くしていきます。
歯の外側にあるエナメル質を漂白し、光の当たる屈折を変化させることで歯を白く見せることができます。
オフィスホワイトニングの主成分は過酸化水素になります。
これはホームホワイトニングの過酸化尿素と違って、漂白速度が速いものになります。
ここに増粘剤やpH調整剤などが含まれています。
pH調整剤で過酸化水素のpHを高めて漂白効果を高めます。
そこに光や熱によって化学反応が起こされて漂白効果を発揮します。
オフィスホワイトニングは使用する薬剤の危険性から奥歯は粘膜に触れやすく塗れないため、前歯に限定的になります。
具体的には小臼歯(前から4ないし5番目)までとなります。
笑った時に見える歯がこの小臼歯になりますので、笑顔の印象はオフィスホワイトニングでも十分獲得出来るでしょう。
オフィスホワイトニングに
向いている方
とにかく短期間で歯を少しでも白くしたい!という方はオフィスホワイトニングに向いていると言えます。
また、結婚式が来週に迫った方、前撮りの写真を撮る方、就職活動で面接官によい印象を与えたい方など早急に変化を求める方向けになります。
さらには自分でマウスピースを装着して毎日行うホームホワイトニングが面倒くさい、仕事の帰りにお手軽に!という方はオフィスホワイトニングが適当になります。
オフィスホワイトニングに
向いていない方
短期間で白くなる分、後戻りもホームホワイトニングに比べて早くなります。
ホワイトニングの効果を持続させたい人には向いていないかもしれません。
しかしオフィスホワイトニングを何度か続けていけばその効果は持続出来ます。
1、2回だけやってそのままにしておくというのが後戻りのしやすさにも繋がってしまうのです。
オフィスホワイトニングの施術の流れ
1
口腔内の診査虫歯の有無、歯周病の状態、汚れの状態などを確認します。
2
施術内容の説明、同意書の記入施術方法や費用、施術後のリスクなどについてご説明します。
3
歯のクリーニング汚れを落とし、ホワイトニング効果を得られる状態を準備します。
4
色味の確認現在の歯の色の確認をします。
5
ホワイトニング薬剤を歯の表面へ塗布し、漂白効果を増強させる光を照射します。ご希望により回数は1~3回行い、時間にして30~60分ほどかかります。
6
色味の再確認、注意事項の説明ホワイトニング後の色を再度確認し、術後の注意事項を説明して終了です。
オフィスホワイトニング
症例
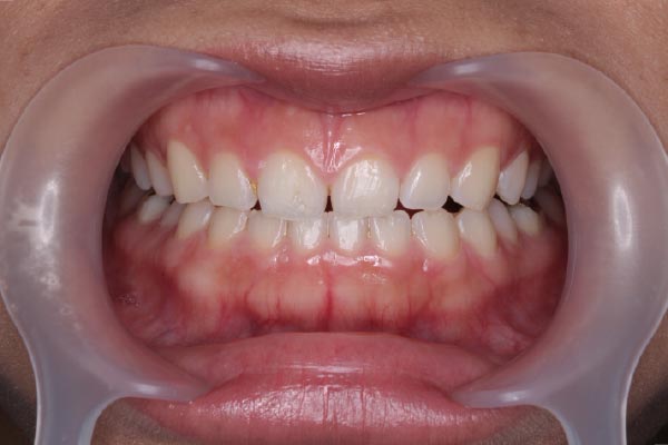
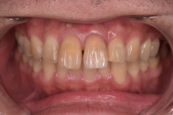
施術内容
マスターコース×2
(2週間に1回)
¥29,700×2=¥59,400(税込)
術後の症状はなく、目標の色に達成後はクリーニングのメインテナンス時に合わせて、3ヶ月に1回ナチュラルコース(2回塗り)によって白さをキープしている。
※全ての方に同様の結果が出るわけではございません。
※ホワイトニング後に知覚過敏の症状がでる場合があります。
BEFORE

AFTER

ホームホワイトニング
について
ホームホワイトニングとは?
ホームホワイトニングは専用のマウスピースを製作し、漂白効果のあるホワイトニングジェルを付けて装着します。
マウスピースを装着するので、奥歯まで白くすることができます。
オフィスホワイトニングでは実現出来ない、奥歯に薬剤を留めることがマウスピースによって獲得できるのです。
使用は1日2時間程になります。濃度が高くないジェルを使用するので、白さを実感出来るまで時間がかかる方法ですが、じっくりと歯の内部に薬剤が浸透していくことで、歯の内側の象牙質の黄ばみまでを白くすることが出来ます。
ホームホワイトニングの主成分は過酸化尿素という薬剤です。これに漂白成分が含まれており、緩徐に歯を白くしていきます。その他、増粘剤と知覚過敏抑制剤(硝酸カリウム・フッ化ナトリウム)が入っています。
就寝中など、1回の作用時間を長くして一気に歯を白くしたいという方もいますが、歯は急には白くならず、痛めてしまうため注意が必要です。ホームホワイトニングは結果が出るまで時間が少しかかりますが、その分後戻りのしにくいホワイトニングになります。色持ちが良いので、一度白くなった歯でも後戻り防止のために行うメインテナンスは期間を長く開けておくことが出来ます。
ホームホワイトニングに
向いてる方
ホームホワイトニングは装着してもそこまで目立ちません。
発音にやや影響があるかもしれませんが、デスクワークや家事などをメインに生活している方であれば問題ない範囲です。
また仕事の通勤時間や、食後のテレビや趣味の時間などを利用することでも無駄なくホワイトニングを行えます。
毎日2時間を数週間継続するというルールがあるので、やる気と根気のある方にはよい方法になります。
ホームホワイトニングに向いていない方
まずは継続出来ない方はホームホワイトニングが向いていないと言えます。
間隔が開きすぎると効果が発揮出来ないので、重要な要素になります。また、もともと知覚過敏の強い方や、歯茎が痩せて歯の根が露出している方などは、薬剤が浸透して更に凍みやすくなることが考えられますので、状態によっては困難となることがあります。
ホームホワイトニングの
施術の流れ
DAY1
1
口腔内の診査
虫歯の有無、歯周病の状態、汚れの状態などを確認します。
2
内容の説明、同意書の記入
方法や費用、処置後のリスクなどについてご説明します。
3
歯型の型採り
マウスピースのための模型を製作します。
DAY2
4
マウスピースの適合のチェック
変形や歪みがないかを確認します。
5
歯のクリーニング
汚れを落とし、ホワイトニング効果を得られる状態を準備します。
6
色味の確認
現在の歯の色の確認をします。
7
注意事項の説明
マウススピースやジェルの取り扱い方法について説明します。
ホームホワイトニング
症例
施術内容
マスターコース + 追加ジェル4本
期間 約4ヶ月
¥41,360 + ¥2,000 × 2
= ¥45,360(税込)
始めた頃はやや知覚過敏の症状があったので、間隔を開けたり、知覚過敏用の歯磨き粉を使用しながら様子を見て行っていった。
症状が落ちついてきてから継続して行い、目標の色に達成できた。
現在は2週間に1回のペースで後戻り対策に行なっている。
※全ての方に同様の結果が出るわけではございません。
※ホワイトニング後に知覚過敏の症状がでる場合があります。
BEFORE

AFTER

ホームホワイトニングの
使用時間と効果について
使用時間と効果
ホームホワイトニングの目安は30分~2時間としています。
2時間を越えてしまうと、歯が痛み、知覚過敏を引き起こしてしまう原因となります。また、一般的に日本人にはホワイトニングの薬剤の作用が強いと言われていることもその理由です。
ホームホワイトニングの効果に個人差はありますが、最低2週間程継続して行って頂くと、白くなってきたと効果を実感していただけます。
しかしながら、ある程度の白さを目指すのであればさらに継続することが必要になります。
どこまで白さを求めるかにもよりますが、例えば、日本人の歯の平均の色(A3)から他の人から気づかれる色(A1)まで到達するには約2~3ヶ月の継続必要です。
ホームホワイトニングの効果を
維持する方法
ホームホワイトニングで満足できる色に到達したら、約数ヶ月は定着期間になります。
定着期間内は週1~2回、定着後は月1~2回のホームホワイトニングで効果を維持していきます。
しかしながら、喫煙の習慣がある方、コーヒーや紅茶などの着色物を好まれる方は定着後も週1~2回のホームホワイトニングをお勧めします。また、3ヶ月に一度のクリーニングをはさんでいただくと、汚れも綺麗になり、ホワイトニングの薬液も浸透しやすく効果的です。
ホームホワイトニングの
マウスピースについて
ホームホワイトニングは専用のマウスピースを使用して行います。
まずは歯医者さんで歯型の型採りを行います。
その模型から出来上がってくるオーダーメイドのマウスピースになります。
適合の良いマウスピースを用いないと、ホワイトニングの薬剤が歯からはみ出たり、装着時の違和感が強かったりと効果が減弱してしまいます。
既製のマウスピースに既に薬剤が入っている商品も販売していますが、ご自身の歯にぴったりとは合わないのであまりお勧めは出来ません。
またスポーツ用のマウスピースとは異なり、非常に薄くなっていますので、用途はホワイトニングに限られます。
トレーは薄く、また薬剤は透明なので、装着していても大きく目立つことはありません。
使用後はマウスピース内に薬剤も残りますので、流水下で綿棒などを用いてお掃除しましょう。
虫歯の治療などで歯型が変わり、マウスピースが合わなくなった時は新しく製作し直すようにしてください。
ホームホワイトニングの注意点
デュアルホワイトニング
について
デュアルホワイトニングとは?
デュアルホワイトニングはオフィスホワイトニングとホームホワイトニングを組み合わせたホワイトニングになります。
双方の特徴を活かすことで、ホワイトニングをより最短効果で発揮できるため、結婚式や就活前など、より綺麗により早く歯を白くしたい方にお勧めのホワイトニングプランとなります。
デュアルホワイトニングの
施術の流れ
(ナチュラルコース)
DAY1(前準備)
1
口腔内診査
虫歯の有無、歯周病の状態、汚れの状態などを確認します。
2
施術内容の説明、同意書の記入
施術方法や費用、施術後のリスクなどについて説明します。
3
歯型の型採り
マウスピースのための模型を製作します。
DAY2
(オフィスホワイトニング1回目)
4
マウスピースの適合チェック
変形や歪みがないかを確認します。
5
歯のクリーニング
汚れを落とし、ホワイトニング効果を得られる状態を準備します。
6
色味の確認
現在の歯の色を確認します。
7
オフィスホワイトニング2回
薬剤を歯の表面へ塗布し、漂白効果を増強させる光を照射します。
回数を2回行うため、時間にして30~40分ほどかかります。
8
色味の再確認、注意事項の説明
ホワイトニング後の色を再度確認し、術後の注意事項を説明します。
マウスピースやジェルの取り扱い方について説明します。
DAY3
(オフィスホワイトニング2回目)
9
ホワイトニング後の状態確認
オフィスホワイトニング、ホームホワイトニング後の経過確認をします。
10
歯のクリーニング
汚れを落とし、ホワイトニング効果を得られる状態を準備します。
11
オフィスホワイトニング2回
薬剤を歯の表面へ塗布し、漂白効果を増強させる光を照射します。
回数を2回行うため、時間にして30~40分ほどかかります。
12
色味の再確認、注意事項の説明
ホワイトニング後の色を再度確認し、術後の注意事項を説明します。
マウスピースやジェルの取り扱い方について説明します。
ウォーキングブリーチ
について
ウォーキングブリーチとは?
ウォーキングブリーチとは、歯髄(神経)が何らかの原因で壊死したり失われたことで、歯の色が変色した際に行うホワイトニングの治療法になります。
特に多い前歯の変色を、1歯単位で色調の改善を行います。
ウォーキングブリーチを
行うための条件
- ・根管治療が施されており、感染状態でないこと
- ・漂白剤の交換に約束通り来院できること
ウォーキングブリーチの
施術の流れ
DAY1
1
歯の診査、色の確認
薬剤を置ける状況かを確認します。必要によっては根管治療を先に行います。
2
歯・根管内に薬剤を充填するスペースの形成
歯の裏側から穴を開けて薬剤を置くスペースを形成します。
3
歯・根管内に薬剤の充填
薬剤を充填します。
4
アクセス部の閉鎖
薬剤が漏れないよう、セメントにてしっかりと閉鎖します
DAY2
1
色、痛みの有無の確認
漂白効果が得られているか、痛みはなかったか確認をします。
2
薬剤の交換もしくは除去
もう少し色を白くしたい場合は薬剤の交換をします。
3
アクセス部の閉鎖
内部をしっかりと洗浄し、形成したスペースを埋めます。
ウォーキングブリーチの
症例
施術内容
薬剤充填 1週間 ¥16,500
薬剤充填翌日にはその効果が得られた。
痛みなどはなく経過し、1週間後に終了。
※全ての方に同様の結果が出るわけではございません。
※薬剤の影響で歯や歯肉に痛みなどが生じる可能性があります。
BEFORE

AFTER

施術内容
薬剤充填 4週間(3回薬剤交換)
¥16,500×3+¥5,500×3=¥66,000
色調が濃く、ホームホワイトニングも変色歯にのみ同時進行。
痛みなどはなく経過し、約1ヶ月後に終了。
※全ての方に同様の結果が出るわけではございません。
※薬剤の影響で歯や歯肉に痛みなどが生じる可能性があります。
BEFORE

AFTER

ホワイトニングの料金表
ホワイトニング料金リスト
※画像クリックでPDFが開きます
ホワイトニングのリスク・副作用について
ホワイトニング後の痛み
ホワイトニングの後にズキっと知覚過敏の症状がでる場合があります。
なぜこのような一痛みがでるのでしょうか。
歯は大きく分けると
エナメル質(硬い組織なので、熱などの外部刺激から守ってくれます。)
象牙質(細かい管があり刺激を神経に伝えます)
歯髄(神経と言われ痛みを感じる組織)
の3つに分類されます。
しかし、
などが当てはまる場合は歯根が露出して刺激を拾いやすいので、痛みが出てしまいます。
これが「知覚過敏」と言われ、ホワイトニング後に凍みる理由となります。
ホワイトニングで
痛みを出さないために
ホワイトニング前
日頃から知覚過敏の症状がある人は、事前に治療を行い改善しましょう。
・コーティング材を塗る
知覚過敏の症状がでている箇所に病院でコーティング材を塗ってもらいましょう。刺激を通す象牙細管をコーティングで塞ぐので即効性があります。
・高濃度のフッ素を塗る
歯質の強化を促進するために歯科専用の高濃度フッ素を塗ってもらいましょう。即効性はないですが、長期的に歯を強くすることが出来ます。
・虫歯を治す
大きい虫歯がある状態はホワイトニング以前の問題となります。先に虫歯を治してください。
ホワイトニング中
・知覚過敏の抑制剤を塗布してもらってからホワイトニングをする。
露出している象牙質や、エナメル質上のマイクロクラック(細かい亀裂)に抑制剤を塗布します。痛みを和らげながらホワイトニングを行うことができます。
ホワイトニングで
痛みが出た場合の対処法
・知覚過敏専用の歯磨き粉を常用する
知覚過敏抑制作用のカリウムイオンが含まれている歯磨き粉を使うことを第一にお勧めします。
歯の内側から神経に対してイオンバリアを形成し、痛みを和らいでくれます。
また、フッ素も配合されていると一緒に使って歯質を強くすることもできます。
・温度のある飲食をさける
ホワイトニングを行った日は、歯が敏感です。
冷たい温かい飲食を避けることも大事です。
刺激を与えないようにしましょう。
・鎮静剤を処方してもらう
1日程で痛みはなくなりますが、どうしても我慢できない場合は薬を処方してもらうこともいいかもしれません。
ホワイトニングと
虫歯治療について
ホワイトニングをご希望される患者さんのなかには、よく調べてみると虫歯が見つかる方がいます。
虫歯も初期虫歯から重度までありますが、進行している虫歯に関しては治療を先に行うことをお勧めしています。
ホワイトニングの薬剤は歯の内部に浸透して漂白効果を発揮しますので、虫歯がある歯には薬剤の浸透効果が強く、刺激によって凍みたり、痛む反応が生じやすくなってしまいます。
前歯の詰め物治療はホワイトニング後に行いましょう
前歯を過去にコンポジットレジンという白いプラスチックの詰め物で治療されていた場合、それ自体がすでに変色していたり、またホワイトニングによって詰め物の色が浮いて目立ってしまうときがあります。
そのようなときは、ホワイトニング後にレジンの詰め替えを行うことが多いです。
しかし詰め替える治療を先に行っても、ホワイトニング後には再度色合わせのために再治療する必要性が出てきてしまいます。
当院ではホワイトニング後の色に合わせたコンポジットレジンを取り揃えております。
きれいに仕上がった歯の色に合わせてレジンを詰め替えることが可能となっております。
※審美治療のため保険適応外となります
銀歯の詰め替え、セラミック治療はホワイトニング後に行いましょう
ホワイトニングを機に銀歯を白いセラミックにされる方が多くいらっしゃいます。
セラミック治療は自然な歯の色調を再現、獲得出来る治療法です。
セラミックを作製する時は周囲の歯の色に合わせて作製されます。先にセラミック治療で白い物を装着してからホワイトニングをするという順番は、天然の歯をセラミックの色に合わせて白くすることはできません。
ご希望の方は、ホワイトニング後の色に合わせてセラミック治療をすることをお勧めします。
ホワイトニング前は
歯の汚れをきれいに落としましょう
口の中をきれいにしておくことが、ホワイトニング効果を最大に発揮するうえで大事です。
歯石や汚れが多かったりしては薬剤の浸透が進みません。
また、歯茎が腫れていると薬剤が歯茎に付着しやすくなります。
少し触れるだけで出血するような歯茎であると、ホワイトニングの薬剤に血が混ざってしまったりと、ホワイトニングがうまく行えません。
歯茎の隙間である歯周ポケットから出る滲出液は、知覚過敏の原因ともなります。
歯茎の炎症が強い方はこの滲出液が刺激により出やすくなります。
そのため歯茎に炎症がある場合は、ホワイトニングをする前に、その原因物質である歯垢・歯石を除去して炎症を抑えておくことが大事になります。
ホワイトニングと矯正治療について
矯正治療をしていると、歯に器具が付いていてホワイトニングが出来ないと思われがちですが、きちんと計画をたてることや工夫をすることでホワイトニングをすることが可能です。
矯正治療前に
ホワイトニングを行う場合
矯正治療は各種検査や準備期間が必要になってくるため、すぐに装置が装着されるわけではありません。
便宜的に抜歯が必要となった場合、抜歯後は傷口が落ち着いてから装置を装着することになります。
そのような場合は、歯に器具が付くまでに時間があるので、その期間を利用してホワイトニングを優先的に行うことも出来ます。
矯正治療中に
ホワイトニングを行う場合
矯正治療中でも矯正方法によってはホワイトニングが可能です。
①オフィスホワイトニング
舌側矯正ともいい、歯の裏側に器具を付ける矯正治療であれば、歯の表側から行うオフィスホワイトニングでホワイトニングは出来ます。
表側のオーソドックスな矯正治療の場合は、歯の裏側に薬剤を塗ると、すぐ垂れてしまい、また舌に触れて危険なので行えません。
②ホームホワイトニング
ホームホワイトニングは歯の表面に器具が付いているためマウスピースの適合に劣ってしまいます。
薬剤がうまく歯に浸透しにくく、また歯並びが変わる度にマウスピースを作り直さなくてはならない為、お勧め出来ません。
③ホワイトニング用歯磨き粉
矯正中最も簡便なのが歯磨き粉だけで行えるホワイトニングです。
ホワイトニング成分と同じ効果を含有した歯磨き粉を使用しますと、ホームホワイトニング効果と同じように少しずつ歯を白くすることが出来ます。ただし、歯磨き粉ですから、濯ぐことでホワイトニング成分を歯の表面から流してしまうので効果に時間がかかります。こちらの使用はホワイトニング後の後戻り対策に用いるのが良いかもしれません。
矯正治療後に
ホワイトニングを行う場合
矯正治療が間もなく終わる方や、急いでいない方は治療後にホワイトニングを行うこともよいでしょう。
後戻り防止に歯の裏側にワイヤーを付けることが多くありますが、見えない裏側に対してホワイトニングは特に影響はありません。
マウスピース型の装置で後戻りを防いでいる方でも、歯科医院で行うオフィスホワイトニングであれば問題なくホワイトニングが出来ます。
また日中の空いている時間や通勤中などの時間を利用すれば、マウスピースタイプのホームホワイトニングも可能となります。
テトラサイクリン歯の
ホワイトニングについて
テトラサイクリンとは
テトラサイクリンとは抗生物質の薬物の一種です。
胎児の時に母親が服用していたり、乳幼児期にテトラサイクリン系薬物を服用すると、歯の変色が認められることがあります。
全体的にグレー色の変色が認められ、歯の内部の変色のため自分で除去することはできません。
テトラサイクリン歯は通常のホワイトニングに比較して時間がかかり、また完全に改善するのは困難なケースとなります。
一定の効果は発揮出来ますが、状況に応じて通常より長い期間のホワイトニングを継続する必要があります。
ガムピーリング(歯茎のホワイトニング)について
ガムピーリングとは
歯茎もキレイで健康的なピンク色にできるのです。
個人差はありますが、遺伝・コーヒー・赤ワイン・紫外線等によるメラニン沈着を落とすことが可能になります
歯並びや歯のホワイトニングももちろん大事ですが、歯茎の色が黒ずんでいると汚い印象にも映ります。
歯茎の色が変わるだけでより口元がキレイに見えてきます。
一方で以下の方は対象とはなりませんのでご注意ください。
術前

術中

術後

治療費用 ※保険診療外となります
上下1回 ¥6,600(税込)
ガムピーリングの手順
1
歯茎表面に表面麻酔を塗ります
2
フェノール(歯茎の黒ずみを取るお薬)を塗ります
3
エタノール(お薬を中和してくれる)を塗ります
4
水洗・乾燥
5
②~④を繰り返します。
ガムピーリング後の注意事項
セルフホワイトニング
について
セルフホワイトニングとは
セルフホワイトニングとは歯科医師、歯科衛生士の手を借りずに、自分で行う歯のケアのことを言います。
ホワイトニングとは歯の漂白のことを言います。
セルフホワイトニングには歯のホワイトニング効果がありません。
セルフホワイトニングは、歯の表面についた汚れを浮き上がらせて落とすことが出来るケア方法になります。
タバコのヤニや着色といった汚れが目立つ方で、歯を白くするとまでは考えていない方に向いている方法かもしれません。
しかし歯科医院で機械を使用して汚れを除去する効果と比較すると、その効果は低く、時間と回数がかかるかもしれません。
歯科医院で行うオフィスホワイトニング(歯の漂白)に使用する薬剤には「過酸化水素」という薬剤を使用します。
この薬剤は劇物で、一般に取扱いができません。
また、法律上、口の中を触ってよいのは歯科医師と歯科衛生士に限られています。
そのためセルフホワイトニングでは歯の漂白効果を伴う薬剤を使用してのホワイトニングは出来ないということになります。