目次
歯周病治療について
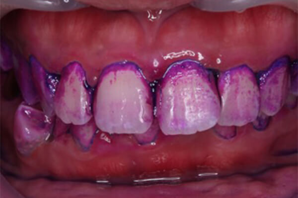
歯周病とは
歯の喪失原因の第1位は歯周病です。
これは細菌による感染症であり、虫歯と合わせて7割以上の歯を抜く原因となります。歯周病から口腔内を守りQOLを高めるためには、発症前の予防、発症後には適切な治療とメインテナンスを行うことが必須になります。
歯周病の症状
歯周病と言っても症状は様々です。しかし、下記にあげる内容に該当する場合は歯周病の可能性があります。
- ・歯茎の腫れor下がってきた
- ・歯茎の発赤
- ・歯磨きでの出血
- ・歯茎から膿が出る
- ・口臭がする
- ・歯が揺れる など
歯周病は①歯肉炎と②歯周炎に大別されます。
①歯肉炎の特徴
- ・原因は細菌性プラークである
- ・炎症は歯肉に限定的である
- ・プラークコントロールにより改善する
- ・進行して歯周炎となる

②歯周炎の特徴
・日和見感染である
※日和見感染とは免疫力がある場合では病態が発症せずにいるものの、環境の変化や免疫力の低下により病態が発症してしまうことをいいます。
・歯槽骨の破壊が行われる
・歯周ポケットが形成される
・進行が早まりやすい
・治癒はせず、進行の停止と改善が目標となる
・全身疾患(糖尿病、心筋梗塞など)や喫煙やストレスなどの影響を受ける

歯周病の悪化に伴い歯肉の炎症や歯槽骨の破壊が顕著になります。
治療の内容も状況によって変化してきますので、何かしら気になる症状がある場合はご相談ください。
歯周病の検査
問診
口腔内疾患には生活習慣が大きく関係します。その中で歯周病は、歯磨きの習慣や方法、使用している歯ブラシ、そして家族歴など、問診から得られる情報が数多くあります。
また全身疾患との関連性もあるため、歯周病治療を行う上で考慮すべきものがないかも確認します。

歯周ポケット測定
(プロービング検査)
目盛の付いた器具で歯の周囲の歯茎の深さを測定します。歯茎の腫れや歯槽骨の喪失などにより歯周ポケットの値に変化が起きます。
レントゲン写真と比較しながら炎症が生じている部位の歯周ポケットを測定し、歯周病の進行具合を確認します。健康な状態であればポケットは1~3mm、4mm以上となると歯肉炎や歯周炎の状態と鑑別判断していきます。

BOP(Bleeding On Probing)
歯周ポケット測定後の出血の有無を確認します。出血は歯茎の炎症具合を示す指標となります。理想値はBOPが20%未満とされており、そのコントロールはメインテナンス時の指標として、またインプラントなどの外科処置前にも重要な指標となります。

口腔内写真
現在の状態を視覚的に説明し記録する上で重要になります。治療の前後を比較検討することができるため、モチベーションのきっかけにもなります。基本的には正面左右上下と5枚の撮影を行い、必要に応じて細かく撮影します。

レントゲン写真
見た目では判断できない歯槽骨の吸収程度を確認するために行います。歯周病は骨を溶かす病気でもあるため、なぜ骨が溶けているのか原因を鑑別し、その対策と治療に繋げます。

歯の動揺度
歯を支える骨や歯茎が弱ってくると歯は揺れてきます。その揺れ具合を0〜3度の指標で評価し、歯の保存可否や治療後の検討に用います。
- 0度:生理的な動揺の範囲(0.2mm以内)
- 1度:唇舌方向にわずかに動揺(1.0~2.0mm)
- 2度:唇舌方向に中程度(1.0~2.0mm)、近遠心方向にわずかに動揺
- 3度:唇舌、近遠心方向に動揺(2.0mm〜)、上下にも動揺

咬合、習癖の診査
噛み合わせの状態は歯周病の進行に深い関わりがあります。歯牙の位置や欠損状態、傾斜や咬耗、さらに噛み合わせの位置も診ていきます。口呼吸や歯軋りなどの習癖も確認します。

歯周病治療の流れ
各治療の段階ステップ毎に再評価を行い、結果を比較考察していきます。治療効果が得られ、状況が改善してきた場合、不必要な治療はスキップされます。

歯周基本治療とは
歯周治療に必須の基本的な処置で、歯周病の進行を停止させて組織の修復過程を促し、破壊された歯周組織を修復あるいは再生させることを目的とします。つまり、炎症の緩解や口腔内の衛生環境の確立、噛み合わせの力のコントロールがそれにあたります。
具体的な治療内容は以下の通りです。
- ・応急処置
- ・プラークコントロール
- ・スケーリング ルートプレーニング
- ・不良補綴物の除去及び製作
- ・暫間固定
- ・虫歯治療
- ・知覚過敏処置
- ・抜歯
- ・歯周ポケット掻爬
これらは治療が終了後に治癒期間をおいて治療結果の判定を行う必要があります。(再評価)
必要な追加処置があれば次の段階に進むか、メインテナンスに移行するかを判断していきます。
プラークコントロールとは
治療前
治療後
プラークは炎症の初発因子となります。ここから歯肉の炎症が始まり、歯周病や虫歯の進行につながります。
写真はプラークを染め出す液体を歯の表面に塗布してゆすいだ前後のものです。一見だいぶ綺麗に磨けているように見えますが、歯と歯茎の境目などは色濃く目立っており、磨き残しが多いことがわかります。プラークは粘着性が強く、放置することでさらに細菌の停滞をしやすい状況を作ります。プラークコントロールはそれを防ぐための手段となります。
プラークコントロールの方法には以下のようなものがあります。
- ・口腔清掃
(歯ブラシ フロス 歯間ブラシ 洗浄器) - ・殺菌作用のある含嗽剤
- ・固い、繊維性の食事
- ・プロフェッショナルケア
(歯科医院でのクリーニング)
歯石とスケーリング・
ルートプレーニング
歯石は歯茎の上と下に形成される違いから「縁上歯石」と「縁下歯石」に分けることができます。縁上歯石はプラーク(歯垢)が唾液中のCa成分により石灰化して形成されます。色も白く、一般的な歯石のイメージになります。一方、縁下歯石はプラークが血液中のCa成分により形成され血液の影響を受けて黒い色をしています。
※画像は下顎前歯舌側に蓄積した歯石

歯周治療の成功には徹底したプラークコントロールが重要ですが、ポケット内のプラークや歯石は患者さん自身で除去することには限界があります。そのため、専門的に機械的除去を行わなくてはいけません。
歯石除去前
歯石除去後
スケーリング・ルートプレーニングとはその付着した歯石等を機械的に取り除く方法で、歯周治療の基本的かつ重要な治療になります。
【スケーリング】
歯冠歯根の表面からプラークや歯石、着色を機械的に除去すること
【ルートプレーニング】
歯石により粗造となった歯根、または細菌により汚染された歯根表面のセメント質や象牙質を取り除くこと
※画像の歯の脇に見える白い膨らみは歯石

スケーリングとルートプレーニングの目的は歯周組織の炎症を軽減し、プラークコントロールを行いやすくすることになります。
ただし、これらの処置は器具が到達していないと意味がなく効果が発揮できません。深いポケットや根分岐部、歯の位置異常などがあると限界が生じます。
根分岐部病変
奥歯の大きい歯は根が複数に分かれており、この根と根の間を根分岐部といいます。
その特徴から分岐部内のプラークや歯石の除去は困難で、歯周疾患を引き起こしやすくなります。
根分岐部
根分岐部:X線
根分岐部病変の分類と治療法
水平分類(Lindhe,1983)
- Ⅰ度:頬舌的に骨の1/3以下の欠損
- Ⅱ度:頬舌的に骨の1/3以上欠損しているが、完全には貫通していない
- Ⅲ度:頬舌的に完全に貫通している
治療法
- Ⅰ度:
スケーリング
ルートプレーニング
歯周外科
ファーケーションプラスティ
(根形態と骨形態を整えます) - Ⅱ度:
歯周外科
ファーケーションプラスティ
歯根分割・分割抜去
(歯を分割して保存および保存不可の根は抜歯します)
抜歯
再生療法 - Ⅲ度:
歯根分割
トンネリング
(分岐部を綺麗に貫通させて清掃性を高めます)
抜歯
※(歯周治療って面白い 基礎編/医歯薬出版より引用)

歯周外科
歯周基本治療で症状の緩和や状態の維持ができたものの、それをさらに維持しやすくすること、一方では歯周基本治療では限界があった状況に対して更なる病状の悪化を防ぎ、ひいては歯の喪失を免れるために行う治療が歯周外科治療になります。
検査中①
検査中②
※・・・・・健全な状態の高さ
このように歯周病により吸収・喪失した歯槽骨により骨の高さは凹凸になります。この凹凸が、深い歯周ポケットの形成から清掃性の悪い環境を作り、歯周病の悪化を進めてしまいます。
よって歯周外科の目的は“骨の形態を生理的に整える”ことにあります。そのためには①骨整形・骨切除 ②矯正的挺出 ③戦略的抜歯 ④再生療法などを組み合わせて治療を行います。
スケーリング・ルートプレーニングでは深い歯周ポケットなどに対して盲目的にしか行えなかった治療が、歯周外科では根面に付着した汚れや骨の形態を直視することができるため、治療時間も最小限にして器具のアクセスを容易にしてくれます。ただし一方では歯茎の形態が変化してくるなど、治療方法や部位によっては影響を受けることもあります。
再生療法
歯周外科の一つに再生療法があります。骨切除などは骨を削り、不揃いな骨の高さを揃える治療ですが、再生療法は失われた組織(歯槽骨、歯根膜、セメント質など)を回復させる処置をいいます。
再生療法の一つにエムドゲインがあります。
※(カタログ/straumannより引用)

歯周治療のゴールには、その進行を止めるだけでなく、失われた組織の再生を行うことでもあり、エムドゲインは骨の再生を促す材料となります。 主成分がタンパク質(エナメルマトリックス)であり、これは豚の歯胚組織から抽出されたものになります。このタンパク質は歯周組織の形成に関与することが確認され、歯を発生するときと同じ順序を踏むため、再生療法に用いられています。
歯肉剥離後
エムドゲイン塗布
左側側切歯に限局的な骨吸収が認められます。綺麗に掻爬した後にエムドゲインを塗布します。術後半年近くは安静にし、骨の再生を促しながらメインテナンスをしていきます。
症例
50代女性 奥歯を抜歯せずに保存したい
下顎左側第一大臼歯の遠心根全体を透過するほどの歯槽骨の吸収がありました。 ここまで骨吸収が進んでいると分割して抜歯することの方が多いものの、なるべく抜歯したくないとのご希望から、骨補填材を使用した再生療法を行いました。
治療前1
治療前2
治療前3
口腔内写真・X線写真で遠心根の周囲には歯槽骨が存在していないことがわかります。
治療後1
治療後2
約6ヶ月ほど経過後の状態です。根分岐部にも骨様組織が満たされていることがわかります。X線写真でも吸収像がなくなり、不透過性の状態に満ちています。
| 治療内容 | GBR+局所麻酔 |
|---|---|
| 目的 | 歯の保存および骨の再生 |
| 治療期間 | 6ヶ月 |
| 費用(税込) | ¥220,000 |
| 副作用・リスク | 術野の腫脹・疼痛、骨補填材の感染、麻酔による一時的感覚の喪失、抜歯 |
メインテナンス
メインテナンスは歯周病の再発を防ぎ、組織が健康な状態を生涯にわたり継続するための定期的な治療のことです。 おおよそ3〜6ヶ月毎に行います。歯周病は細菌感染によって引き起こされる疾患であり、その炎症の元となる細菌(歯垢)を除去し続けることで健康維持につながります。また噛み合わせや歯ぎしりから守ることも重要な項目です。よってメインテナンスは以下のコントロールが求められることになります。
・細菌のコントロール
・力のコントロール
毎日のセルフケアでしっかりとした歯磨きが行えていればほとんどの細菌は除去できますが、深い歯周ポケットや歯と歯の間の細かな部分は除去しきれず汚れは気づかぬうちにたまっていきます。そのため歯科医院にて専門的にクリーニングを行い除去していくことが必要となります。
歯周病と全身疾患の関連について
歯周病が及ぼす全身への影響に以下のようなものがあります。
- ・糖尿病
- ・心血管障害
- ・脳梗塞
- ・誤嚥性肺炎
- ・自己免疫疾患
- ・早産
- ・メタボリックシンドローム
- ・骨粗鬆症
生活習慣病と言われる糖尿病の患者さんが増えています。

糖尿病と歯周病は密接に関係しており、糖尿病の方に歯周病の治療や外科治療を行なった場合、免疫機能が低下していることから治癒に遅れや感染リスクが高くなります。血糖値のコントロールは治療効果を高め、歯周病治療の効果を高めます。
歯周病と喫煙について
喫煙者は歯周病に罹患しやすいという統計があります。非喫煙者と比べその差は2〜8倍もあるといわれます。
喫煙(ニコチン)の血管が収縮しやすくなる作用により血液循環を悪くするため、歯周病を含めた治癒が悪くなります。またその作用から、歯肉に炎症が生じても肉眼的に出血しにくくなったり、歯茎に色素沈着が生じて症状に気づきにくくなるということも治療を受けるタイミングを遅らせる要因となります。
また食生活や運動不足、寝不足などの生活習慣も歯周病には影響します。発症リスクの改善に生活の見直しが必要なこともあります。

歯周病と口臭
①生理的口臭
病気によるものではなく、食生活や加齢によるもの。また空腹時や睡眠中など口の中が乾燥しているときに起こりやすくなります
②病的口臭
口腔内疾患:
虫歯や歯周病、出血、舌苔など
全身疾患:
消化器疾患(胃潰瘍、胃癌など)
耳鼻科疾患(鼻炎、副鼻腔炎など)
糖尿病、尿毒症など
これらはその疾患を治療することで症状の改善が見られます。

歯周病の口臭は、プラーク内の細菌が複数の揮発性硫黄化合物を放出すガスで臭いを発生させます。自身で気づくことは少なく、周りからの指摘で知ることもあります。ただ一方では自分で気にするあまり、第三者には臭わないものの口臭がすると不安に思われる方もいます。歯周病由来の口臭を改善するためにはやはり日々の正しいブラッシングと定期的な歯科医院でのメインテナンスによりプラークや歯石を除去することが大切です。
医療費控除について
医療費控除とは、1年間に支払った医療費の総額が一定金額(10万円)を超える場合、その翌年の確定申告で医療費控除を申告すれば、いくらか税金の還付を受けられる制度です。
これから受ける治療が、医療費控除の対象なのかどうか気になる方は、スタッフにご相談ください。





